Em Santa Catarina, a inteligência artificial (IA) está sendo utilizada para acelerar o diagnóstico do câncer de mama em diversas cidades. A mamografia, exame crucial para a detecção da doença, está sendo aprimorada com o uso dessa tecnologia inovadora. O estado apresenta a maior taxa de incidência de câncer de mama no Brasil, com 74 casos a cada 100 mil mulheres, segundo dados do Instituto Nacional de Câncer (Inca). Estima-se que 3.860 novos diagnósticos sejam feitos até o final de 2025.
Na clínica da médica radiologista Bianca Miranda Lago, em Joinville, mais de 6 mil mamografias anuais são realizadas com o auxílio da IA. Apesar da tecnologia agilizar o processo, com redução de até 70% no tempo de resposta, a análise final continua sendo feita por médicos especialistas. A médica explica que o tempo de cada exame é de cerca de 30 minutos, variando conforme o tipo de mama da paciente.
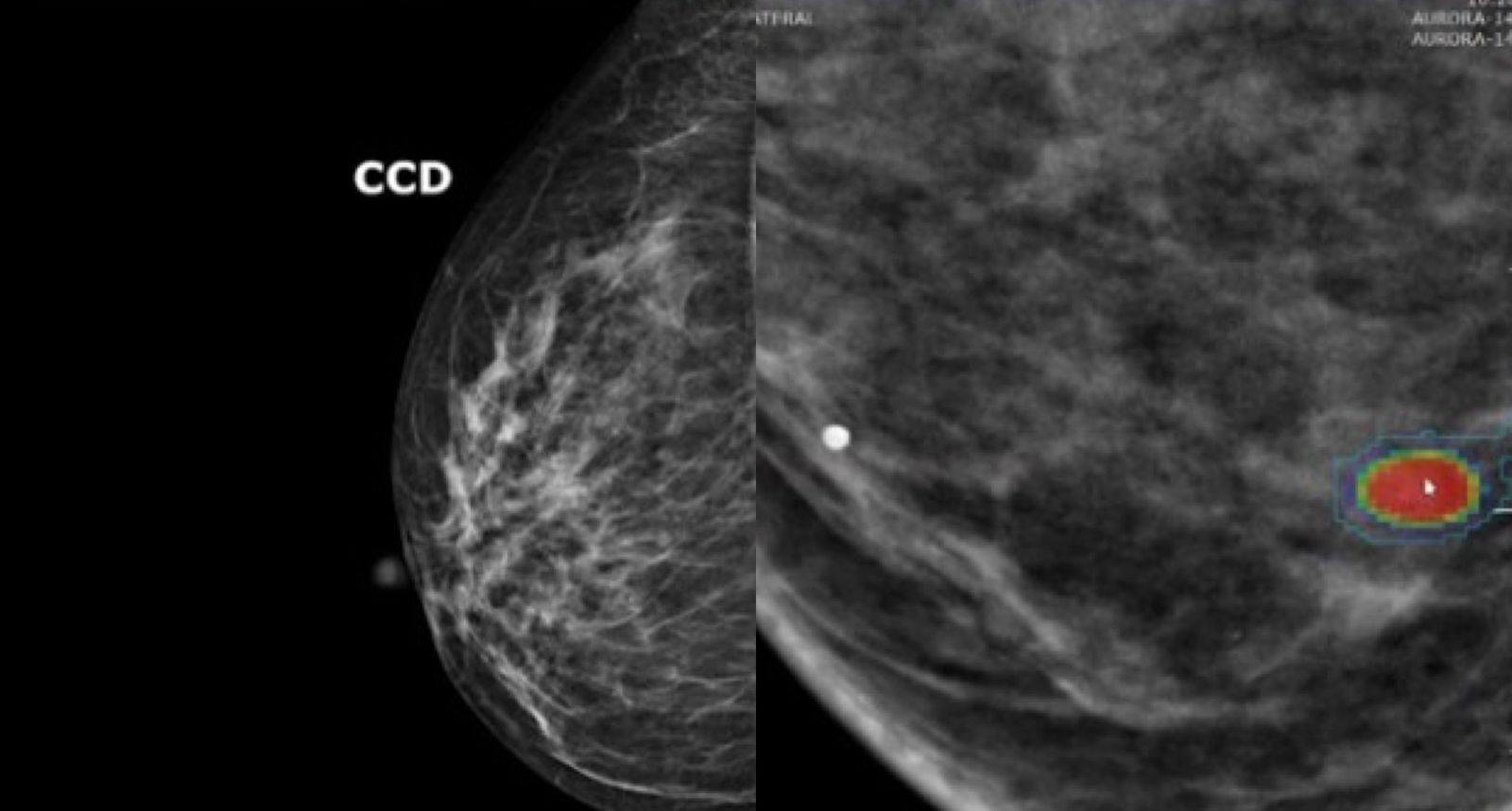
A ferramenta de IA analisa os laudos das mamografias, identificando nódulos e sinais de alerta com agilidade. O sistema consegue reconhecer padrões nas imagens que podem indicar lesões ou microcalcificações suspeitas. Paula Castilho, especialista em tecnologia de medicina diagnóstica, afirma que a IA permite priorizar exames com maior risco, agilizando a avaliação de possíveis problemas.
O câncer de mama é o tipo mais comum entre mulheres no Brasil e no mundo, excluindo os tumores de pele não melanoma. O diagnóstico precoce aumenta as chances de cura e amplia
Urgente! Inteligência Artificial Revoluciona Detecção Precoce do Câncer de Mama em SC
Descubra como a IA está salvando vidas em Santa Catarina, diagnosticando o câncer de mama com mais rapidez e precisão. Veja os detalhes e como a tecnologia está transformando a saúde!
/https://i.s3.glbimg.com/v1/AUTH_59edd422c0c84a879bd37670ae4f538a/internal_photos/bs/2025/M/2/1gYS9dSgC1VTQ7PATF9A/whatsapp-image-2025-10-09-at-20.24.40.jpeg)
141
visualizações
0
curtidas
0
comentários
0 Comentários
Entre para comentar
Use sua conta Google para participar da discussão.
Política de Privacidade
Carregando comentários...
Escolha seus interesses
Receba notificações personalizadas